

Collaborated with Public Health Experts from distinguished organizations like the WHO, UNICEF, and the NIH.
Diagnosed a real patient from the Nagari Medical Clinic & Maternity Ward in Bauchi State, Nigeria.
Developed a public health campaign for communities in Sub-Saharan Africa for implementation in 2021.

Read more about Kyubin here.
Kyubin Kim
William Lyon Mackenzie Collegiate Institute
Class of 2022



Kyubin Kim is currently a junior at William Lyon Mackenzie Collegiate Institute. Kyubin is part of the MaCS program at her school which offers enriched English, Mathematics, Science and Computer Science courses for advanced students.
Kyubin enjoys skiing and is a certified ski instructor at Uplands! Passionate about improving the lives of the youth, Kyubin created a non-profit organization that strives to deliver care packages to those experiencing hardships throughout the pandemic. The first target group was homeless youth, and with the $500 that was raised through a Go Fund Me site, she distributed and made care packages for the children at Horizons for Youth. At school, Kyubin takes on a variety of leadership roles for clubs. This includes being the president of both HOSA and MEDLIFE in addition to being the vice president of Athletic Council and Baycrest Hospital Partnership Council. Kyubin also takes initiative outside of school by volunteering in her community. She assists the nurses at the Apotex Centre of Baycrest Hospital. During her free time, Kyubin loves playing the violin and she uses this talent to serenade the audience at senior residence homes and is also part of the Sohrae Youth Ocheestra.
Kyubin is thrilled to be joining the Advanced Medical & Public Health Internship this year as she has a strong interest in the medical field and aspires to be a family physician one day. She loves research projects and believes that she can learn many new skills while strengthening her previous ones and is excited to meet a group of like-minded peers.
Read more about Kyubin's achievements here.



In Partnership With The Nagari Medical Clinic & Maternity Ward In Bauchi State, Nigeria
The Advanced Medical & Public Health Internship diagnosis is the first-ever program of its kind. I not only got to work with top medical professionals from around the world, but also save lives.
Through Zoom, I was connected with a clinic and maternity ward in Bauchi State, Nigeria where I was able to interact with my patients in real-time. Using the doctor in Nigeria as an extension of myself, I examined & diagnosed my patient using my diagnostic training on the top 4 leading causes of death in Nigeria; malaria, typhoid fever, nutritional anemia, & acute respiratory infections (ARI).
These patients were not actors. They were locals from Bauchi State that were all ill and would normally not be able to afford medical treatment as they earn $1.25 a day or less. In return for working with our participants, all of their treatments were funded by Leadership Initiatives.
In 2021, Leadership Initiatives was able to fund the treatment of 26 patients.
My Diagnosis


My Patient's
Diagnosis






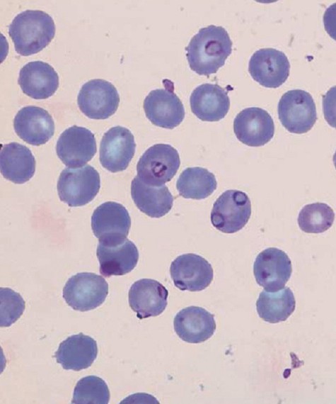
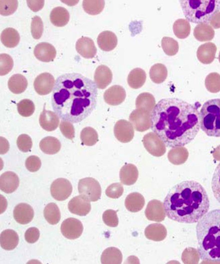
I began by introducing myself and telling her I was going to be diagnosing her today. I asked her what her name was and then asked if it was okay for me to ask her some questions and received her consent. I asked the primary cause on why Sekina came in today and what wasn’t feeling well. She told me that she was experiencing a fever, headache, vomiting, weakness and abdominal pain for about two days. From here, I learned by asking further questions that she also had a loss of appetite or some diarrhea. I also questioned whether the fever was constant or intermittent and she responded that it was on and off. I asked Dr.Ibrahim to take her temperature which came back as 38 degrees celsius, indicating a fever. I also asked Dr.Ibrahim to examine her palms and compare it with his which appeared to be paler. From here, I recognized that Sekina was presenting symptoms of both malaria and typhoid fever so I first ran a rapid diagnostic test and a blood culture. The RDT came back positive for malaria and the blood culture also found salmonella typhi in the bloodstream indicating she had typhoid fever. I was also a little worried about her hemoglobin levels given her paler hands so I ran a complete blood count and found her hemoglobin to be 10 gm/dL. This confirmed my suspicions about mild anemia. I concluded the diagnosis to be typhoid fever with a complicated case of malaria accompanied by mild anemia.
I diagnosed Sekina to have typhoid fever with a complicated case of malaria accompanied by mild anemia. For her treatment, she should receive IV Artesunate to combat the malaria, antibiotics like fluoroquinolone or amoxicillin for the typhoid fever, lots of fluids/hydration for the anemia and dehydration post vomitting, NSAIDS for her fever/headache/abdominal pain, (alternative is antipyretics for her fever), some vitamin b12 for her loss of appetite, antimotility drugs for diarrhea, oral iron therapy or dietary modifications for her mild anemia,
For malaria, I spoke to Sekina and found out that she did not have mosquito netting but she did have insect repellant so I recommended for her to spray it whenever she went outside and make sure to wear longer sleeved bottoms and tops to minimize the exposure to the skin. I also recommended avoiding stillwaters especially because they were experiencing a rainfall season in Bauchi State, Nigeria. For typhoid fever, I mentioned that she should frequently and thoroughly wash her hands and make sure to monitor/control possible sources such as carriers like contaminated water. For the nutritional anemia, I asked her if she ate meat and she said she did but not too often so I recommended some beans, eggs, spinach, and other iron/b12/folic acid sufficient foods to prevent it in the future.


I learned about four of the most pertinent diseases in the developing world from medical professionals including Dr. Aisha Garba, medical doctor and public health expert in Nigeria.
I developed cultural competencies and a global perspective to assess the structural and social determinants of health that underlie these diseases.
I had the unique opportunity to learn about and practice patient examination, evaluation, and diagnosis skills which contributed to the expansion of my preparedness for a future in the medical field.
As a group, we explored the historical, ethical, and cultural implications as well as the medical terminology and procedures pertaining to each of the 4 diseases.
I now have the skills to recognize, diagnose, and recommend both treatment and prevention methods for each of the four diseases.
I gained a better understanding of the signs and symptoms correlated with different stages and severities of Malaria, Typhoid Fever, Acute Respiratory Infection, and Nutritional Anemia.
My Public Health Campaign
View my campaign's supplemental materials here.

Leadership Initiatives is a 501(c)(3) nonprofit organization that is dedicated to creating future leaders across the globe through experiential learning.
At the conclusion of the internship, I presented my research proposal to a panel of judges including top executives from HOSA, the Leadership Initiatives Grant Committee, and top public health experts.
View my public health campaign presentation here.
In the Advanced Medical & Public Health Internship, I worked directly with development and public health experts to create an educational public health campaign. This campaign will target underserved communities in Nigeria and will be published and widely distributed in the area to increase awareness.
My Public Health Campaign Presentation



Experts & Mentors
Diagnostic Training
Nigerian Medicine
Triage
Suturing
Internship Highlights
Experts & Mentors



I heard from top medical professionals in a variety of fields and specialties including emergency medicine, medical research, neuroscience, and surgery.
By working with experts, I gained a better understanding of the responsibilities associated with each medical specialty and how to go about pursuing those particular careers.
Additionally, I had the unique opportunity to speak to leading public health experts from WHO, PAHO, UNICEF, and the NIH. Their knowledge helped guide me determine the focus of my public health campaign.
I now have more insight into what steps I need to take to begin my journey in medicine.




Diagnostic Training


Dr. Garba taught a series of workshops that demonstrated the proper way to interview a patient and explained various techniques to investigate disease.
Throughout the internship, I developed skills in the collection, interpretation, and critical analysis of patient data.
With Dr. Garba’s guidance, I was able to improve my ability to synthesize and evaluate information, which is essential in the diagnostic process.
These exercises helped me advance my communication skills to appropriately evaluate patients and best understand their symptoms.


Nigerian Medicine


Through interactive educational seminars, I got an insight into the history of medical practices in Nigeria.
Dr. Garba provided me with the current practices in Nigerian medicine and a rich understanding of the growing mistrust of Western biomedical medicine in the region.
By meeting with actual patients, I gained insight into the lives of people living in Nigeria.
Understanding the lived experiences of these individuals allowed me to gain a critical perspective of what practices I could implement into my campaign to reduce the spread of infectious disease.


Triage


Through the internship, I acquired basic clinical skills including taking vital signs, evaluating symptoms, and performing neurological exams.
When discussing vitals signs, we explored different methods of taking pulse. After demonstrating competency using each method, I am confident in my ability to calculate heart rate in any patient.
When performing neurological exams, we utilized a procedure that assesses the twelve cranial nerves. These nerves help facilitate normal and healthy bodily functions, and it is critical to evaluate their function in triage.
Along with these basic procedures, I had the opportunity to learn specialized skills like suturing and plaster casting.


Suturing


In one of the leading interactive activities of the internship, I learned and practiced multiple suturing techniques on a human-skin model.
While working on suturing, I employed instruction from medical professionals on the varying techniques and forms of suturing.
This activity provided insight into the primary tasks required of doctors and nurses, while also learning about some of the more intricate parts of medicine.
Along with suturing, I also practiced making plaster casts and other medical procedures. All of these activities helped prepare me for a career in medicine and strengthened my interest in the field.





