

Collaborated with Public Health Experts from distinguished organizations like the WHO, UNICEF, and the NIH.
Diagnosed a real patient from the Nagari Medical Clinic & Maternity Ward in Bauchi State, Nigeria.
Developed a public health campaign for communities in Sub-Saharan Africa for implementation in 2021.

Read more about Mariamawit here.
Mariamawit Haileab
Georgetown Visitation Preparatory School
Class of 2024



Mariamawit Haileab is a rising sophomore at Georgetown Visitation located in the nation's capital.
Mariamawit likes trying new things as she joined her school's rowing team and their newspaper club. Mariamawit is a synchronized skater and enjoys skating for fun as well as competing with her team. She also loves cooking and experimenting, often combining bold and unexpected flavors. In her free time, Mariamawit enjoys watching documentaries to satisfy her curiosity.
Mariamawit is excited to join the Advanced Medical and Public Health program as she hopes to pursue a role in the medical field, and help emphasize the importance of basic hygiene.
Read more about Mariamawit's achievements here.



In Partnership With The Nagari Medical Clinic & Maternity Ward In Bauchi State, Nigeria
The Advanced Medical & Public Health Internship diagnosis is the first-ever program of its kind. I not only got to work with top medical professionals from around the world, but also save lives.
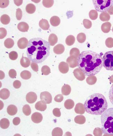
Through Zoom, I was connected with a clinic and maternity ward in Bauchi State, Nigeria where I was able to interact with my patients in real-time. Using the doctor in Nigeria as an extension of myself, I examined & diagnosed my patient using my diagnostic training on the top 4 leading causes of death in Nigeria; malaria, typhoid fever, nutritional anemia, & acute respiratory infections (ARI).
These patients were not actors. They were locals from Bauchi State that were all ill and would normally not be able to afford medical treatment as they earn $1.25 a day or less. In return for working with our participants, all of their treatments were funded by Leadership Initiatives.
In 2021, Leadership Initiatives was able to fund the treatment of 26 patients.
My Diagnosis


My Patient's
Diagnosis





Saudat Haruna is a 17-year-old woman who lives in Gwallaga Community in Bauchi State, Nigeria with her parents. She helps take care of her younger siblings. She does sleep under an insecticide-treated mosquito net, but not as frequently as she should.
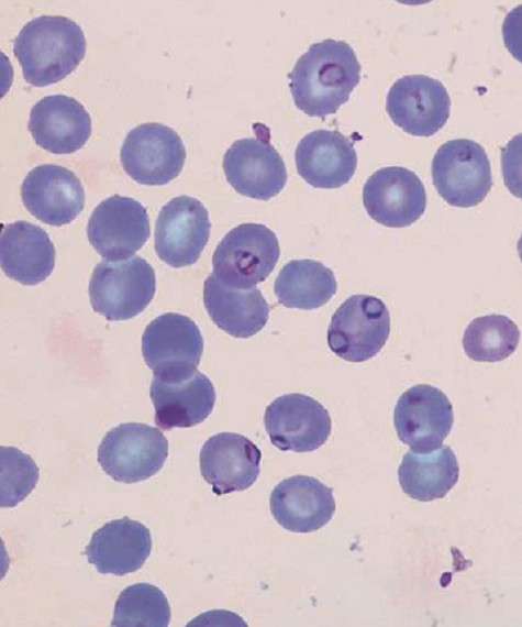
Upon taking my patient's history, I found that Saudat presented with symptoms of headache, body weakness, loss of appetite, and fatigue. I requested a Rapid Diagnostic Test (RDT) which came back positive allowing me to diagnose the patient with malaria. I prescribed Saudat Artemether-Lumefantrine, which is an anti-malarial tablet and advised her to wear long sleeves, pants and to sleep using an insecticide treated mosquito net to prevent catching malaria again.
Saudat was ultimately diagnosed with malaria. She was placed on antimalarial drugs and advised to wear protective clothing along with using a treated net for further prevention.


I learned about four of the most pertinent diseases in the developing world from medical professionals including Dr. Aisha Garba, medical doctor and public health expert in Nigeria.
I developed cultural competencies and a global perspective to assess the structural and social determinants of health that underlie these diseases.
I had the unique opportunity to learn about and practice patient examination, evaluation, and diagnosis skills which contributed to the expansion of my preparedness for a future in the medical field.
As a group, we explored the historical, ethical, and cultural implications as well as the medical terminology and procedures pertaining to each of the 4 diseases.
I now have the skills to recognize, diagnose, and recommend both treatment and prevention methods for each of the four diseases.
View my campaign's supplemental materials here.
I gained a better understanding of the signs and symptoms correlated with different stages and severities of Malaria, Typhoid Fever, Acute Respiratory Infection, and Nutritional Anemia.
My Public Health Campaign

Leadership Initiatives is a 501(c)(3) nonprofit organization that is dedicated to creating future leaders across the globe through experiential learning.
At the conclusion of the internship, I presented my research proposal to a panel of judges including top executives from HOSA, the Leadership Initiatives Grant Committee, and top public health experts.
View my public health campaign presentation here.
In the Advanced Medical & Public Health Internship, I worked directly with development and public health experts to create an educational public health campaign. This campaign will target underserved communities in Nigeria and will be published and widely distributed in the area to increase awareness.
My Public Health Campaign Presentation



Experts & Mentors
Diagnostic Training
Nigerian Medicine
Triage
Suturing
Internship Highlights
Experts & Mentors



I heard from top medical professionals in a variety of fields and specialties including emergency medicine, medical research, neuroscience, and surgery.
By working with experts, I gained a better understanding of the responsibilities associated with each medical specialty and how to go about pursuing those particular careers.
Additionally, I had the unique opportunity to speak to leading public health experts from WHO, PAHO, UNICEF, and the NIH. Their knowledge helped guide me determine the focus of my public health campaign.
I now have more insight into what steps I need to take to begin my journey in medicine.




Diagnostic Training


Dr. Garba taught a series of workshops that demonstrated the proper way to interview a patient and explained various techniques to investigate disease.
Throughout the internship, I developed skills in the collection, interpretation, and critical analysis of patient data.
With Dr. Garba’s guidance, I was able to improve my ability to synthesize and evaluate information, which is essential in the diagnostic process.
These exercises helped me advance my communication skills to appropriately evaluate patients and best understand their symptoms.


Nigerian Medicine


Through interactive educational seminars, I got an insight into the history of medical practices in Nigeria.
Dr. Garba provided me with the current practices in Nigerian medicine and a rich understanding of the growing mistrust of Western biomedical medicine in the region.
By meeting with actual patients, I gained insight into the lives of people living in Nigeria.
Understanding the lived experiences of these individuals allowed me to gain a critical perspective of what practices I could implement into my campaign to reduce the spread of infectious disease.


Triage


Through the internship, I acquired basic clinical skills including taking vital signs, evaluating symptoms, and performing neurological exams.
When discussing vitals signs, we explored different methods of taking pulse. After demonstrating competency using each method, I am confident in my ability to calculate heart rate in any patient.
When performing neurological exams, we utilized a procedure that assesses the twelve cranial nerves. These nerves help facilitate normal and healthy bodily functions, and it is critical to evaluate their function in triage.
Along with these basic procedures, I had the opportunity to learn specialized skills like suturing and plaster casting.


Suturing

In one of the leading interactive activities of the internship, I learned and practiced multiple suturing techniques on a human-skin model.
While working on suturing, I employed instruction from medical professionals on the varying techniques and forms of suturing.
This activity provided insight into the primary tasks required of doctors and nurses, while also learning about some of the more intricate parts of medicine.
Along with suturing, I also practiced making plaster casts and other medical procedures. All of these activities helped prepare me for a career in medicine and strengthened my interest in the field.






